
Las autoridades de salud del condado King alertaron sobre un caso confirmado de TMVII, una infección por hongos que puede propagarse por contacto piel con piel, incluido el contacto sexual. Aunque hasta ahora solo se ha confirmado un caso en Washington, especialistas creen que podrían existir más infecciones sin diagnosticar.
Qué es TMVII y por qué preocupa en este condado
TMVII corresponde a Trichophyton mentagrophytes genotype VII, un hongo dermatofito que causa una infección parecida al pie de atleta, pero que suele aparecer en la zona genital, glúteos, tronco o extremidades. La diferencia es que esta variante no siempre responde a los tratamientos comunes de venta libre.

Las autoridades locales explicaron que esta infección ya ha sido detectada en otros lugares de Estados Unidos. Antes del caso reportado en Washington, hubo reportes en Nueva York y un brote reciente en Minnesota.
Síntomas de TMVII que deben vigilarse
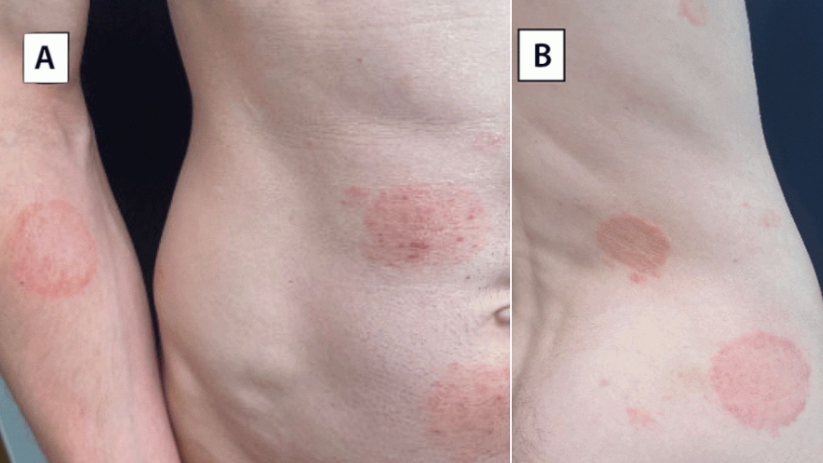
Los síntomas de TMVII pueden confundirse con otros problemas en la piel. Por eso, el diagnóstico puede retrasarse si no se reconoce a tiempo.
Señales más comunes de la infección
Entre los síntomas más frecuentes se encuentran:
- Picazón intensa
- Piel escamosa
- Erupciones rojas en forma circular
- Lesiones bien definidas en la ingle o zona genital
- Irritación persistente que no mejora con cremas comunes
Además, expertos advierten que estas lesiones a veces pueden parecer eccema o psoriasis, lo que complica aún más la detección temprana.
También puede interesarte:
Por qué TMVII puede ser difícil de tratar
Uno de los mayores retos con TMVII es que los tratamientos antifúngicos tópicos tradicionales no suelen funcionar de manera constante. Es decir, las cremas que muchas personas usan para la tiña o el pie de atleta podrían no resolver esta infección.
Tratamiento recomendado por especialistas
De acuerdo con la alerta de Public Health – Seattle & King County, muchos pacientes necesitan medicación oral antifúngica, y el tratamiento puede durar entre 6 y 12 semanas, según la evolución de los síntomas. En algunos casos, la recuperación completa tarda varios meses.
Por eso, una erupción genital persistente no debe ignorarse, sobre todo si no mejora después de usar productos comunes.
Cuándo acudir a un médico por posible TMVII
Las autoridades sanitarias recomiendan consultar con un profesional de salud si aparece una lesión con picazón, enrojecimiento o forma de anillo en la zona genital y esta no desaparece con tratamiento básico.
También aconsejan evitar el contacto directo con el área afectada, no compartir toallas, ropa o rastrillos, y buscar atención médica si la molestia persiste. Además, el departamento de salud indica que personas con síntomas compatibles podrían ser evaluadas en la clínica de salud sexual de Harborview Medical Center.
Para más información, los residentes pueden consultar la alerta oficial de Public Health – Seattle & King County, así como la guía de CDC sobre infecciones emergentes por micosis cutánea.
Lo que deben hacer los pacientes si sospechan esta infección
Si existe sospecha de TMVII, lo más importante es evitar la automedicación prolongada y buscar una evaluación médica. Un tratamiento correcto puede acelerar la recuperación y reducir el riesgo de contagio.
¿Puede TMVII transmitirse sexualmente?
Sí. Las autoridades de salud indican que esta infección puede propagarse mediante contacto piel con piel, incluido el contacto sexual, por lo que la prevención y la atención temprana son clave.
¿TMVII es una infección peligrosa?
En general, TMVII no suele poner en riesgo la vida, pero sí puede ser difícil de eliminar si no se trata de forma adecuada. Además, puede extenderse o empeorar con el tiempo.
¿Cuánto tarda en curarse TMVII?
El tratamiento puede durar varias semanas. En algunos pacientes, la infección requiere entre 6 y 12 semanas de medicación oral antes de desaparecer por completo.
Si ves algún error de cualquier tipo en esta información puedes escribirnos al email: info@latinoherald.com














